DOA DENTAL

BLOG

dentista de la nariz

Dentista de la nariz

La odontología biológica es una odontología funcional. Buscamos un equilibrio físico, neurológico y endocrino desde la boca y la nariz.

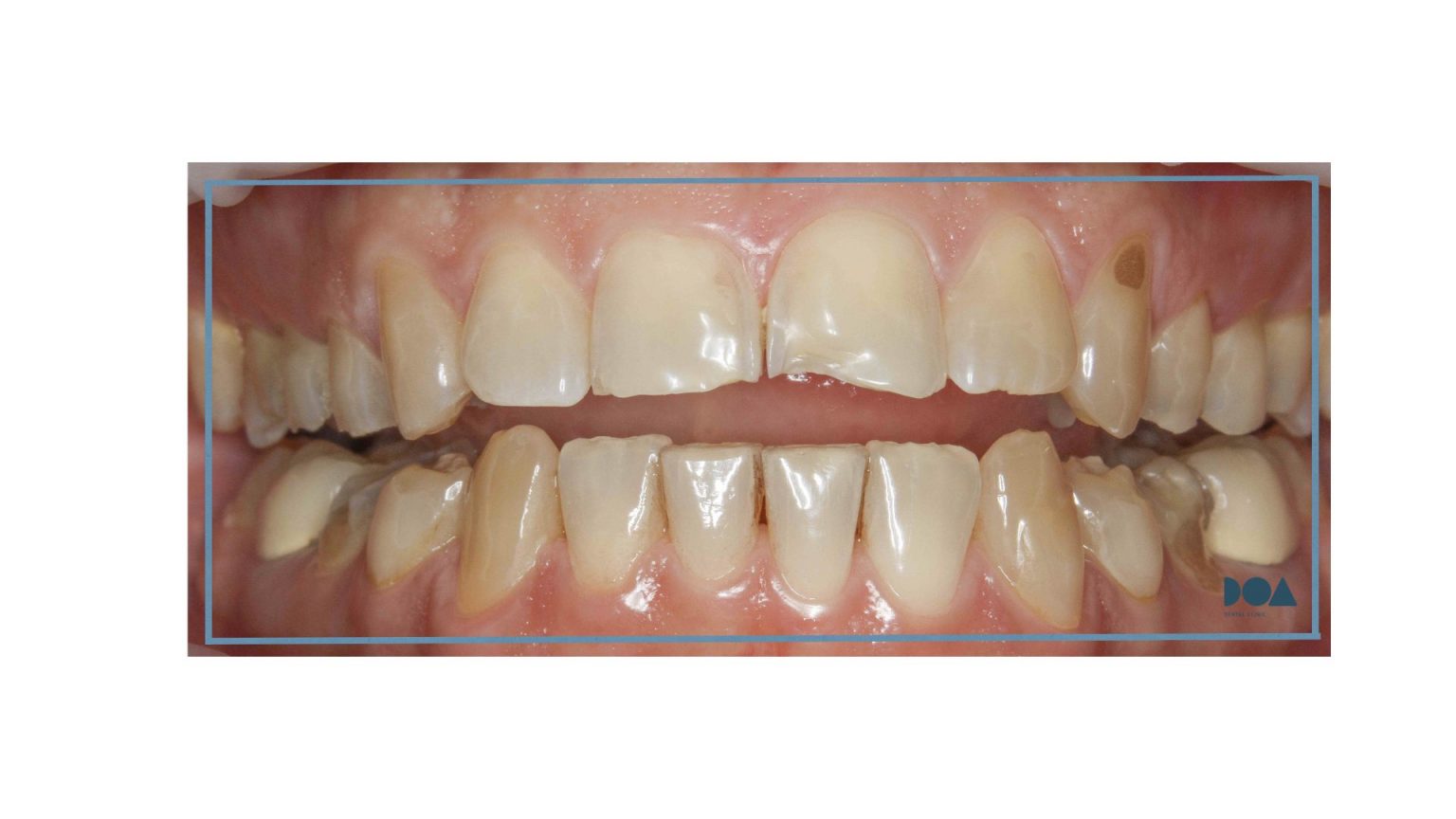
deporte y dientes

El deporte y los dientes

Deporte y dientes ¿qué relación pueden tene­r? , quizás no te habías preguntado nunca esto, pero el deporte es uno

corona dental

¿Qué es una corona dental?

La corona dental es una prótesis hecha a medida , personalizada, para cada paciente .Son como pequeñas fundas, que reconstruyen

Pide tu cita

Rellene el siguiente formulario y en breve nos pondremos en contacto con usted.